2023 Volume 11 Issue 4
Creative Commons License

MANAGEMENT OF POST ORTHODONTIC EXTENSIVE ROOT CANAL CALCIFICATION AND CROWN WHITE-SPOT-LESIONS USING RESIN INFILTRATION TECHNIQUE

Abdullah Albassam1*

1 Department of Endodontics, Faculty of Dentistry, King Abdulaziz University, Jeddah, Saudi Arabia. [email protected]

https://doi.org/10.51847/NHUhCjC5vy


ABSTRACT

This 22-year-old male patient came to the clinic complaining of pain and esthetic dissatisfaction following orthodontic treatment with fixed appliances. The patient said that his orthodontic treatment lasted more than 4 years. Upon clinical examination, the patient presented with mild to moderate post orthodontic white spot lesions (WSL) affecting the two upper central incisors. Tooth #21 exhibited yellowish discoloration compared to the adjacent teeth. Tooth #21 was also sensitive to percussion, with no response to thermal testing and electric pulp testing (EPT). Orthopantomogram (OPG) and CBCT were taken and showed extensive root canal calcification in tooth #21 with intact lamina dura and normal periodontal ligament space. Root canal treatment was done on tooth #21, followed by internal bleaching (non-vital walking bleaching) using 35% hydrogen peroxide. Then, both teeth with white spot lesions were treated using the resin infiltration technique to improve the esthetic outcome. By understanding patient expectations, conducting comprehensive assessments, ensuring informed decision-making, and personalizing treatment plans, the best outcomes could be achieved.

Key words: Root canal calcification, Tooth white spot lesion, Walking bleaching, Resin infiltration.


Introduction

After orthodontic treatment, post-orthodontic decalcifications, often referred to as white spot lesions “WSL” pose a significant challenge from an aesthetic perspective. These lesions have been reported to occur at rates ranging from 73% to 95% [1, 2]. The high prevalence of enamel WSL can be attributed to various factors. Maintaining oral hygiene becomes particularly challenging for patients with fixed orthodontic appliances. The presence of these devices not only makes it difficult to clean them and creates additional surfaces where plaque and biofilm can accumulate. When these challenges are combined with teenage patients, who are the most common orthodontic treatment recipients, the situation becomes even more complicated. Teenagers often exhibit a diminished drive to uphold and maintain appropriate oral hygiene measures along with a higher susceptibility to dental caries, creating a scenario in which WSL can start as early as one month [3-5].

The presence of white spot lesions are universally regarded as an undesirable outcome [6]. Studies have demonstrated that resin infiltration, such as the use of Icon DMG, proves to be the most effective method for concealing WSL [7]. Furthermore, it provides enhanced protection against the development of new WSL when compared to therapeutic fluoride solutions [8]. Moreover, teeth treated with caries infiltration exhibit durable color stability [9, 10], and numerous case studies have showed great results [11, 12]. When dealing with white spot lesions during ongoing orthodontic treatment, there's a natural concern regarding the bonding strength to the treated surfaces. Studies have demonstrated that applying resin infiltration to demineralized enamel does not have an adverse effect on the bonding strength of orthodontic brackets [13].

Case report

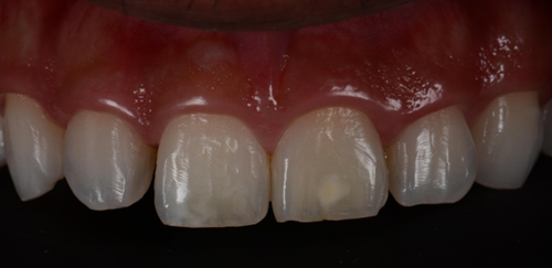
This 22-year-old male came to the clinic complaining of pain and esthetic dissatisfaction following orthodontic treatment. The patient said that his orthodontic treatment lasted more than 4 years. Upon clinical examination, the patient presented with mild to moderate post orthodontic white spot lesions (WSL) affecting the two upper central incisors. Tooth #21 exhibited yellowish discoloration compared to the adjacent teeth due to calcific metamorphosis (Figure 1).

Figure 1. Preoperative frontal photo with a black background to make the contrast better and the white spots more clear

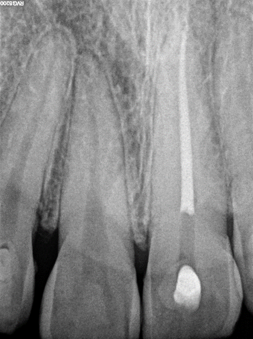
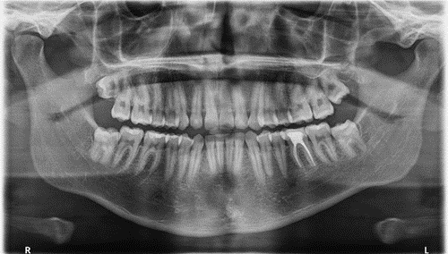
Upon radiographic examination, tooth #21 showed extensive root canal calcification with intact lamina and normal periodontal ligament space (Figure 2).

a)

b)

Figure 2. Preoperative radiographs. a)  orthopantomogram (OPG) panoramic radiograph. b) coronal and sagittal view of CBCT

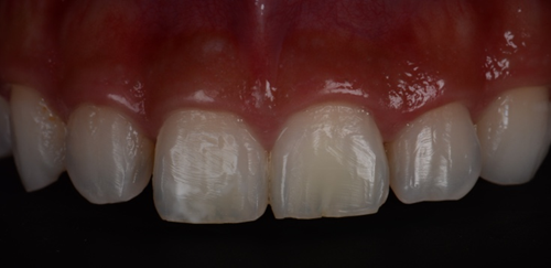
This tooth did not respond neither for thermal nor electric pulp testing. Root canal treatment was initiated in tooth #21 with the aid of Endo access bur and following the measurements and angulations taken from the cone beam computed tomography (CBCT). The canal was located by the aid of a dental operating microscope and negotiated with a size #10 C file. The preparation of the root canal system was done by Reciproc files, 5.25% sodium hypochlorite, and 17% EDTA. Obturation was done with gutta percha and EndoSequence® BC Sealer (hydraulic condensation technique). Internal bleaching (non-vital walking bleaching) was initiated using Opalescence™ Endo. following the manufacturer’s instructions. Opalescence Endo bleaching gel was administered into the coronal pulp chamber while ensuring it does not come into contact with soft tissues. Temporary filling was placed, and made sure that there was sufficient occlusal clearance (Figure 3). After 5 days, the desired change in tooth color was achieved. Then, both the provisional restorative material and the bleaching material were removed until the level of coronal sealing material. Seal the access opening using a preferred barrier and temporary restorative materials. Wait a period of 7–10 days following the whitening procedures before proceeding with the placement of a permanent restoration, as whitening materials can interfere with the bonding agents used in restorative procedures. Then, permanent composite restoration was placed to seal the palatal access cavity in tooth #21. By the end of this step, part of the patient’s chief complaint was addressed by bleaching the tooth internally and matching the adjacent teeth' color. However, White spot lesions are going to be in the following step by applying the ICON resin infiltration following the manufacturer’s instructions.

Figure 3. Periapical radiograph showing tooth #21 after root canal treatment.

To begin with the resin infiltration technique, it is imperative to place a rubber dam to establish a clear and dry working environment. The use of a rubber dam is mandatory in cases of this nature. Subsequently, we proceed with a micro-abrasion technique employing a micro-abrasive paste (Opalustre, from Ultradent) to cleanse the surface and initiate the opening of microscopic pores. This paste is applied three times, with each application lasting 60 seconds, and it is crucial to rinse thoroughly between applications. Next, the etching process with hydrochloric acid (specifically, Icon-Etch from DMG) is initiated. During etching, a rubbing motion is applied using a specialized smooth surface (sponge) tip for a duration of two minutes. After thorough rinsing, the white spots on the teeth become even more pronounced (Figure 4). This indicates improved accessibility to the microscopic pores. To confirm readiness for infiltration, an assessment can be conducted by applying ethanol (Icon-Dry, DMG). If the white spots disappear after the application of ethanol, it signifies that the enamel is prepared for infiltration. If not, the etching procedure can be repeated, with a maximum of five repetitions in total.

a)

b)

Figure 4. a) Application of hydrochloric acid (Icon-Etch, DMG). b) Result after etching three times for two minutes.

Once the white spots have disappeared upon the application of ethanol (Icon-Dry, from DMG), then we proceeded with infiltration using methacrylate (Icon-Infiltrant, from DMG). The infiltration process is also carried out with the use of a specialized smooth surface tip. Polymerization was conducted for a duration of 40 seconds after excess material was removed using air. The patient was extremely satisfied with the results (Figure 5).

Figure 5. Final results after both internal bleaching and resin infiltration.

Results and Discussion

The resin infiltration technique is an alternative therapeutic method for halting the advancement of enamel lesions. Its objective is to seal the micro pores inside the WSL by using specialized low-viscosity light-curing resin designed for swift penetration into the porous enamel [13]. The resin enters the lesion body propelled by capillary forces. Its primary goal is to establish a barrier for diffusion inside the WSL rather than just on its surface. Robinson et al. observed that approximately 60 ± 10% of the WSL pore volume was filled with resin [14].

Furthermore, resin infiltrates subsurface lesions, creating resin-infused portions of the lesion. Notably, the depth of resin infiltration exceeds 100 μm [15]. An advantageous outcome of resin infiltration is that enamel lesions no longer exhibit a whitish appearance once their micro-pores are filled with the resin. Instead, they take on an appearance akin to healthy, undamaged enamel. Regrettably, both microabrasion and resin infiltration techniques cannot completely eliminate white spot lesions. This partial effectiveness can be attributed to the fact that some lesions extend beyond the superficial layer of enamel [16]. Research has shown that microabrasion removes approximately 200 μm of the superficial enamel, while resin infiltration reaches a depth of about 60 μm. If a white spot lesion extends deeper than these treatment depths, it may still be detectable. Therefore, careful consideration should be given to case selection when choosing these methods [17].

In the context of this study's limitations, the findings from this case report suggest that the resin infiltration technique appears to be more effective for addressing white spot lesions, emphasizing the importance of careful case selection.

Conclusion

In conclusion, this case report highlights the significance of post-orthodontic white spot lesions in patients. These lesions can have a considerable impact on a patient's oral health and overall satisfaction with orthodontic treatment.

It is crucial for the dentist to understand the multifactorial nature of white spot lesions, emphasizing the importance of early detection, prevention, and management. As dental professionals, it is imperative that we continue to explore innovative approaches and interventions to mitigate the risk of white spot lesions during and after orthodontic treatment.

Acknowledgments: None

Conflict of interest: None

Financial support: None

Ethics statement: Written consent from the patient was obtained for using his pictures in this publication.

References
  1. Richter AE, Arruda AO, Peters MC, Sohn W. Incidence of caries lesions among patients treated with comprehensive orthodontics. Am J Orthod Dentofacial Orthop. 2011;139(5):657-64. doi:10.1016/j.ajodo.2009.06.037
  2. Lovrov S, Hertrich K, Hirschfelder U. Enamel demineralization during fixed orthodontic treatment - Incidence and correlation to various oral-hygiene parameters. J Orofac Orthop. 2007;68(5):353-63. doi:10.1007/s00056-007-0714-1
  3. Ogaard B, Rølla G, Arends J. Orthodontic appliances and enamel demineralization. Part 1. Lesion development. Am J Orthod Dentofacial Orthop. 1988;94(1):68-73. doi:10.1016/0889-5406(88)90453-2
  4. O'Reilly MM, Featherstone JD. Demineralization and remineralization around orthodontic appliances: An in vivo study. Am J Orthod Dentofacial Orthop. 1987;92(1):33-40. doi:10.1016/0889-5406(87)90293-9
  5. Gorton J, Featherstone JD. In vivo inhibition of demineralization around orthodontic brackets. Am J Orthod Dentofacial Orthop. 2003;123(1):10-4. doi:10.1067/mod.2003.47
  6. Maxfield BJ, Hamdan AM, Tüfekçi E, Shroff B, Best AM, Lindauer SJ. Development of white spot lesions during orthodontic treatment: perceptions of patients, parents, orthodontists, and general dentists. Am J Orthod Dentofacial Orthop. 2012;141(3):337-44. doi:10.1016/j.ajodo.2011.08.024
  7. Rocha Gomes Torres C, Borges AB, Torres LM, Gomes IS, de Oliveira RS. Effect of caries infiltration technique and fluoride therapy on the colour masking of white spot lesions. J Dent. 2011;39(3):202-7. doi:10.1016/j.jdent.2010.12.004
  8. Shivanna V, Shivakumar B. Novel treatment of white spot lesions: A report of two cases. J Conserv Dent. 2011;14(4):423-6. doi:10.4103/0972-0707.87217
  9. Glazer HS. Treating white spots: new caries infiltration technique. Dent Today. 2009;28(10):82-4.
  10. Bourouni S, Dritsas K, Kloukos D, Wierichs RJ. Efficacy of resin infiltration to mask post-orthodontic or non-post-orthodontic white spot lesions or fluorosis - A systematic review and meta-analysis. Clin Oral Investig. 2021;25(8):4711-9. doi:10.1007/s00784-021-03931-7
  11. Lazar L, Vlasa A, Beresescu L, Bud A, Lazar AP, Matei L, et al. White spot lesions (WSLs)-post-orthodontic occurrence, management and treatment alternatives: A narrative review. J Clin Med. 2023;12(5):1908. doi:10.3390/jcm12051908
  12. Tavares MI, Saraiva J, do Vale F, Coelho AS, Amaro IF, Marto CM, et al. Resin infiltration in white spot lesions caused by orthodontic hypomineralisation: A minimally invasive therapy. Br Dent J. 2021;231(7):387-92. doi:10.1038/s41415-021-3476-z
  13. Sonesson M, Bergstrand F, Gizani S, Twetman S. Management of post-orthodontic white spot lesions: An updated systematic review. Eur J Orthod. 2017;39(2):116-21. doi:10.1093/ejo/cjw023
  14. Robinson C, Hallsworth AS, Weatherell JA, Künzel W. Arrest and control of carious lesions: A study based on preliminary experiments with resorcinol-formaldehyde resin. J Dent Res. 1976;55(5):812-8. doi:10.1177/00220345760550051601
  15. Alamoudi RA, Yaseen AA, Alharthi AS, Bagher SM. Patient satisfaction with resin infiltration treatment for masking noncavitated white spot lesions on anterior maxillary teeth: Two case reports. Case Rep Dent. 2022;2022:9180553. doi:10.1155/2022/9180553
  16. Paris S, Meyer-Lueckel H, Kielbassa AM. Resin infiltration of natural caries lesions. J Dent Res. 2007;86(7):662-6.
  17. Beerens MW. Treatment of post-orthodontic white spot lesions. Ned Tijdschr Tandheelkd. 2020;127(12):705-11. Dutch. doi:10.5177/ntvt.2020.12.20067

 

 


Issue 2 Volume 14 - 2026